Bob Balman shares his positive experience with Dr. Gupta and Dr. Gordon, highlighting their professionalism and expertise in dental implants. He describes the implant process—from tooth removal to placement and final restoration—emphasizing the natural look and ease of maintenance. Bob appreciates the attentive follow-up care, including personal check-ins from Dr. Gupta, which reassured him throughout the journey. With a confident smile, he highly recommends Dr. Gupta and his team for their friendly and professional service.
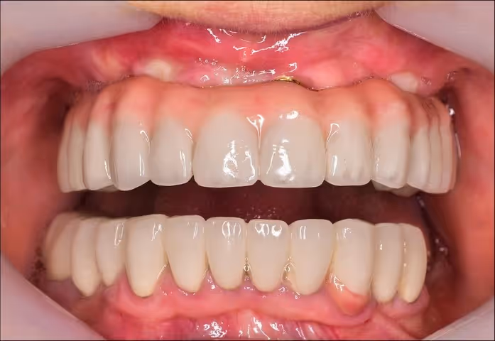
What are Full Mouth Implants?
Full Mouth Implants offer a revolutionary solution to replace all your teeth with a complete, functional, and aesthetic set that looks and feels like natural teeth. Unlike removable dentures, Full Mouth Implants are secured to your jawbone with titanium implant posts, providing a stable foundation for a full set of prosthetic teeth. This method not only restores your smile’s appearance but also reinforces your jawbone, helping to maintain your facial structure. Patients can enjoy a durable, natural-looking smile that’s truly life-changing.
Why would Full Mouth Implants be needed?
Full Mouth Implants are ideal for individuals who have lost all or most of their teeth due to decay, gum disease, or trauma. For those facing the discomfort of ill-fitting dentures or the frustration of continual dental issues, Full Mouth Implants can provide a fresh start. They offer a reliable, permanent solution that enhances eating, speaking, and smiling with confidence. By securing prosthetic teeth directly to implants, Full Mouth Implants eliminate slippage, allowing you to enjoy life without the worries often associated with traditional dentures.
Who would be a candidate for Full Mouth Implants?
Candidates for Full Mouth Implants generally include patients in good overall health who have sufficient bone density in their jaw to support implant posts. Ideal candidates may have experienced significant tooth loss or wear partial or full dentures but seek a more stable, long-lasting alternative. While some patients may require preparatory procedures, like bone grafts, to ensure optimal implant support, most can benefit from this transformative treatment. Dr. Samir Gupta and Dr. Gordon Ott will conduct a thorough evaluation to create a personalized treatment plan just for you.
What happens during the Full Mouth Implants process?
The Full Mouth Implants process begins with an initial consultation to assess your oral health, discuss your goals, and customize your treatment plan. First, implant posts are strategically placed in the jawbone, where they act as artificial roots. These posts are then given time to fuse naturally with the bone, creating a stable foundation. Once the healing phase is complete, customized prosthetic teeth are securely attached to the implant posts. This approach not only provides the look and feel of natural teeth but also reinforces your jawbone, ensuring your new smile is durable, functional, and beautiful.
How long do Full Mouth Implants last?
Full Mouth Implants are designed to be a long-term solution, with many patients experiencing results that last 20 years or more. With proper care, including regular dental visits and good oral hygiene, Full Mouth Implants can provide lasting benefits. Unlike dentures that need frequent adjustments or replacements, Full Mouth Implants are a durable, low-maintenance choice, making them a worthwhile investment in your oral health and quality of life.
What are the benefits of Full Mouth Implants over traditional dentures?
Full Mouth Implants offer stability and confidence that traditional dentures often cannot match. Because they’re securely fixed in the jawbone, Full Mouth Implants do not slip or shift, allowing you to speak and eat freely. This stability also helps protect the jawbone from resorption, a common issue with dentures that can lead to changes in facial appearance over time. For those seeking a natural-looking, hassle-free option, Full Mouth Implants provide the closest experience to having your own permanent teeth.
Schedule Your Full Mouth Implants Today
Are you ready to transform your smile and experience a permanent solution to missing teeth? Contact us today at Ott Family Dentistry to schedule your consultation for Full Mouth Implants. Call us at (412) 367-1808 or contact us online to start your journey to a revitalized, confident smile!
Want To Schedule An Appointment?
At Ott Family Dentistry, comprehensive care and lasting trust go hand in hand.

